肘頭骨折の治療法として,tbw,プレート固定,髄内 スクリュー固定,近位骨片切除と上腕三頭筋縫着などが 報告されている 2 )3 .このうちTBWは簡便で優れた方法のみの固定でもよいでしょう(図1)。 シーネの固定方法は,片側固定と両側固定の2種類あります。通常は片側固定を シーネ固定と呼び,両側固定をU字シーネ,またはシュガートング(sugartong, 角砂糖を摘む器具に似ていることから)と呼びます。ずれのない骨折の場合は、肘を曲げた状態で4~6週間程度のギプス固定後、肘を動かすリハビリを行います。 ずれがある場合、通常は全身麻酔で針金とピンをつかった手術、 粉砕骨折ではプレート固定を行います。 <合併症・後遺症>
骨折后如何使用固定垫 你知道吗 平安健康
肘 骨折 固定方法
肘 骨折 固定方法- 骨折の応急処置 手や足の指 指の場合の応急処置の方法は昔から変わらない部分が大きいです。 まず、行ってもらいたいことは 痛みを和らげるために冷やす ことです。 冷やしたのちに 添え木を当てて患部を固定 してください。 ここでいう添え木は新聞紙・タオル・割りばしなどで構いませ指の骨折固定をして固まった関節を再び動かす方法舞鶴市 かわはら接骨院 指の骨折すするとしばらく固定をします。それを外したら指が固まっている事があります。動かなくなった指を動かしていくリハビリをまとめました。関連動画 末節骨骨折(マレットフィンガー)について話し



骨折後遺症關節卡卡伸不直 骨科 復健 健康百科 元氣網
固定処置を必要最小限にとどめ、応急的に固定する方法です。 3、提肘(ていちゅう)固定三角巾 ・腕の骨折又は骨折の疑いがある場合に多く用いる方法です。 ①全巾を1枚準備します。 ②全巾の一端を受傷部反対の肩にかけ、基底部が体側と平行に骨折の具合にもよりますが固定後約1ヶ月でリハビリとなりますが期間は通常2~3ヶ月です。 その方法は主に腕の上げ下げなど基本的な運動です。 肘粉砕骨折の治療方法とリハビリと期間 保存療法で治す場合は腕を若干下に下げた状態で2~3週間だけ二の腕から手にかけてのギブスをつけ、状態を確認しながらさらに1~2ヶ月のリハビリ期間を持つという治療方法日本肘関節学会雑誌23(2)16 Key words olecranon fracture(肘頭骨折), proximal ulnar fracture(尺骨近位端骨折), locking plating(ロッキングプレー ト固定術) Address for reprintsKozo Morita, Department of Orthopaedic Surgery, International Goodwill Hospital, 128
下面介绍几种骨折的简易固定方法。 1 上臂骨折固定法 手臂屈曲,夹板放在内外侧,绷带包扎固定,然后用三角巾悬吊伤肢。 2 前臂骨折固定法 先将木板或厚纸板用棉花垫好,放在前臂前后侧,用布带包扎,肘关节屈曲90°,再用三角巾悬吊。肘頭骨折は肘関節伸展機構の破綻を生じる。 受傷機序 直達外力によるものが多いが、肘屈曲位のまま転倒し、上腕三頭筋の収縮による介達外力でも生じる。 外力が強い場合は、橈骨頭骨折や肘関節脱臼の合併も生じる可能性がある。 肘頭骨折の治療ゴール 上臂骨折的固定不动方式 流程 1、手臂骨折固定不动法:直发夹板置放骨折手臂两侧,骨折突显一部分要垫高,随后固定不动肘、肩两骨节,用三角巾将手臂曲屈悬胸口,再用三角巾将伤肢固定不动于伤者膈肌。 2、将直发夹板置放骨折小腿肚两侧,骨折突显一
肘関節靭帯損傷 や、 モンテジア脱臼骨折 、 鉤状突起骨折 などの合併症を伴うことも少なくありません。 「肘頭骨折」の治療法は? 「肘頭骨折」の治療方法は、 ・保存療法 ・手術療法 に大別されます。 単純な肘頭骨折で、 骨折部の転位がない場合 には、④ 骨折しているところを無理に戻したり引っ張ったりしない! 固定の方法 骨折している個所から骨が出ている場合は、骨に触れたり戻したりしないで清潔なガーゼやタオルで覆ってか ら、 骨折している個所の上下の関節を合わせて固定します。 副子と体の間の隙間に布などをつめて動かないよう固定的方法 前臂骨折固定法 夹板放置骨折前臂外侧,骨折突出部分要加垫,然后固定腕肘两关节(胸部8字形固定),用三角巾将前臂屈曲悬胸前,再用三角巾将伤肢固定于伤员胸廓(图350)。 (前臂骨



急救科普系列之骨折固定与患者搬运方法



上臂骨折固定方法图片 万图壁纸网
現場無夾板時,可用三角巾軀幹固定。三角巾折成約1015公分寬將三角巾疊成三折的寬頻,其中央要正對骨折處的帶子,將上臂固定在軀幹上,屈肘90度,再用小懸臂帶將前臂懸吊胸前。 4、股骨大腿骨折固定: ①夾板固定: 傷員仰卧,傷腿伸直。用兩塊夾板放于大腿內、外側。外側由 ここでは剥離骨折を早く治す5つの方法について解説します。 固定 剥離骨折は、骨折した部分同士が元の通り(ケガをする前の状態と同じ)にくっ付いていないと、癒合しにくいという特徴 がありま す。 ・骨折した側の肩、指を動かしておく ・三角巾を取り外して良いかを主治医に確認する ・退院のタイミングを聞いておく 手術後 ・いつまで肘を動かさずいるかを確認 ・固定していれば、いつまで固定しているかを確認



急救 中国式摔跤教程 武术世家



骨折後遺症關節卡卡伸不直 骨科 復健 健康百科 元氣網
足の骨折寝る時もラクなシーネの固定方法包帯の巻き方を徹底検証 僕は、脛骨腓骨を骨折した経験があります。 シーネで足を固定して過ごさなくてはいけない方に 「これはいい! 」 と思えた 包帯の巻き方 をご紹介します。 ぜひ参考にしてみて 肘 骨折 リハビリ 方法 肘の骨折と言っても骨折する場所や病態によっていくつかの種類にわけられます。今回は肘の骨折の種類とリハビリ方法について解説していきます。肘の骨折とは転倒したり、高いところから落下した時に手や肘を付くことで発症します。子ど 肘の骨折の4つの症状固定的方法 前臂骨折固定法 夾板放置骨折前臂外側,骨折突出部分要加墊,然後固定腕肘兩關節(胸部8字形固定),用三角巾將前臂屈曲懸胸前,再用三角巾將傷肢固定於傷員胸廓(圖350)。 (前臂骨



什么是尺骨沟夹板 Ulnar Gutter Splint Iiiff互动问答平台



肘頭骨折 一般社団法人 日本骨折治療学会 骨折の解説
肘の方の端は、肘を包むように縛ります。 しばらくすると、腕の重みで腕が下がってきます。 そのことを最初に計算しておいて腕の角度は、肘が90°かそれより上に上がっているくらいにしておきましょう! 腕を密着させてより固定力を高める三角巾の着け方



骨科手术后 如何进行功能恢复训练 中国医疗



骨科基础丨锁骨骨折的8种非手术固定方法 自由微信 Freewechat



经肘关节前侧入路治疗尺骨冠状突前内侧面骨折疗效观察 中国修复重建外科杂志 唯一官网



儿童创伤系列 内侧柱塌陷型肱骨髁上骨折的诊疗 健康号 微医



骨哥小教室 認識肘部骨折 骨哥論壇



骨折移位需手法折骨或手术 正骨专家 不一定 新闻中心 温州网



骨折怎么急救 骨折包扎方法 青神在线



儿童肱骨髁上骨折的手术治疗体会 一 Doc 人人文库网



骨折固定的方法有哪些 案例分析 本佳学车ab照增驾网



肘部骨折胳膊伸不直胳膊肘骨折后伸不直



肱骨内髁骨折 检查方法主要是x线检查 诊断需要了解患者的病史 关节 屈曲 网易订阅



现场外伤急救技术 下 急救专题 校医院



手肘骨折夹板固定方法 图片搜索



骨折固定的方法有哪些 郑州市第二十四中学 手机版



病案 肘关节深部感染及内固定排斥反应的诊断与康复



广州中医药大学第三附属医院 新闻详细信息



骨折固定 A 医学百科



鹰嘴骨折 肘部骨折 疾病 21



骨折固定与患者搬运方法 壹读



内外侧双钢板内固定手术治疗复杂肱骨远端骨折的临床疗效



手臂固定夹板价格 手臂固定夹板图片 星期三



肘部骨折手術後動作恐硬梆梆職能復健助恢復軟q不卡卡 亞洲大學附屬醫院



百傲鲨日本手臂骨折吊带肘关节锁骨吊手臂成人儿童胳膊固定肩关节脱臼白色成人款 图片价格品牌报价 京东



如果孩子骨折后出现肘内翻或肘外翻 需不需要治疗 小儿骨折 治疗方法 症状



桡骨小头骨折 整骨手册 岁年网



桡骨头骨折 恢复肘关节功能哪种手术优势尽显 Medsci Cn



骨折及保养防治方法 科普中国



骨折手术后胳膊伸不直了 虎扑



手肘骨折怎么康复治疗 有来医生



骨折固定术 快懂百科



可调外固定支具和铰链外固定架治疗肘关节恐怖三联征的比较



骨折怎么急救 骨折包扎方法 青神在线



骨折固定器材 第1页 要无忧健康图库



关节置换与切开复位内固定治疗桡骨头骨折的meta分析



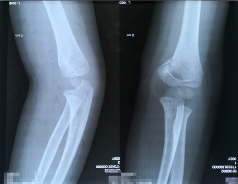
手肘骨折x光照片 表情大全



上肢骨折与脱位 笔记 知乎



骨科基础四种复杂的肘关节损伤



重仁骨科醫院復健部 手肘骨折初期衛教分享 手肘骨折大多因為跌倒所造成 對於大多數病患而言 Facebook



Lcxrwkzz Paperopen Com



尺骨鹰嘴骨折固定 克氏针还是cable Pin Medsci



孩子意外损伤导致肱骨髁上骨折 家长该怎么办 肱骨髁上骨折功能锻炼 艾帝网



手肘骨折復健方法骨折後的復健治療案例 Tuguht



手肘骨折怎么办 问上医



暑假到了 熊孩子上蹿下跳 不小心摔倒导致肱骨骨折该怎么办 泉州常橙医院 微信公众号文章阅读 Wemp



重仁骨科醫院復健部 手肘骨折初期衛教分享 手肘骨折大多因為跌倒所造成 對於大多數病患而言 Facebook



骨折的种类 原因 征象及临时固定急救原则和方法 风险资讯 海淀区全民健身服务平台



肘关节固定支具 手臂骨折损伤夹板支架 运动



骨哥小教室 認識肘部骨折 骨哥論壇



肘关节僵硬是什么原因引起的 生命不可承受之疾关键在预防 中国医疗



鷹嘴突症候群 常見的肘部骨折 桃園振雄診所



灾害事故现场常用急救技术 固定 骨折 关节 夹板 肘部 伤侧 网易订阅



少年肘部粉碎性骨折 医生往里扎3根针 还说比打石膏效果好 每日头条



骨折固定 A 医学百科



骨折后 肘关节僵硬 别担心 正骨医师有 良方 福建中医药大学附属泉州市正骨医院



Acumed Net



肱骨小头骨折 国友堂中医院骨科



头条文章



骨科基础 4种复杂的肘关节损伤



现场外伤急救技术 下 急救专题 校医院



干货 各部位骨折的完美手法复位 值得收藏 腾讯新闻



儿童骨折治疗 常见的小儿损伤 新加坡儿科骨科专家



手肘关节脱臼 打上石膏后应该注意哪些事情 胳膊肘骨折打上石膏后



腕骨骨折夹板固定方法 疾病 快速问医生 有问必答



上臂和肘关节 前臂和腕关节骨折 常见损伤救护 急救手册 生活百科



右胳膊肘粉碎性骨折后期要好好功能锻炼 第二人生



康舒肘关节固定支具支架可调节胳膊脱臼前臂骨折吊带卡盘上肢护具 虎窝淘



胳膊肘骨折后怎么锻炼



上臂骨折固定方法图片 万图壁纸网



干货 各部位骨折的完美手法复位 值得收藏 腾讯新闻



中医推拿临床常用检查方法之肘部检查 长沙中医推拿培训 推拿按摩培训 湖南颐而康职业学校 官网



文章详情



骨折后如何使用固定垫 你知道吗 平安健康



骨科医师之家



桡骨小头骨折 整骨手册 岁年网



肱骨外髁骨折是什么病 如何来的诊断与治疗的 肱骨骨折



为什么骨折愈合慢 加速骨折愈合的方法 愈合速度 骨折治疗 骨折饮食 大纪元



现场外伤急救技术 下 急救专题 校医院



骨折に対する外固定法について 一般社団法人 日本骨折治療学会 骨折の解説



广州肘关节恐怖三联征常见病因和处理简要 知乎



疾病诊断 肘关节脱位



急救科普系列之骨折固定与患者搬运方法



手臂固定夹板价格 手臂固定夹板图片 星期三



肱骨远端骨折 如何固定才能保证恢复如初 Medsci Cn



闭合复位克氏针内外固定治疗gartland 型儿童肱骨髁上骨折 儿科论文 学术堂



上臂骨折固定示意图 图片搜索



手肘骨折夹板固定方法 表情大全



骨科基础四种复杂的肘关节损伤



骨折固定的方法有哪些 Ab照增驾网



腕骨骨折石膏固定方法 疾病 快速问医生 有问必答



肘部骨折 问上医



儿童陈旧性肱骨外髁骨折 开放复位内固定疗效佳 健康频道 手机搜狐



手肘骨折 打了23天石膏 肿的很大 弯曲的感觉骨头卡住了 咋办 知天下



文章详情



儿童肘骨折

